Bay View Dental Lab

Making a Difference in Dentistry

Inside a dental laboratory with multiple workstations, dental technicians, and dental equipment, including microscopes and model casts. Multiple screens display dental images, and the lab is well-lit with overhead lighting.

Bay View is a full service lab, serving dentists for almost 75 years. Both owners, Buddy and Rick Shafer, are Board Certified Technicians and still work full time at the bench. They are joined by an experienced team of technicians and support staff with a shared passion for dental technology and service to dentistry.

The foundation and success for Bay View was built around a passion for customer service and consistent high quality work. General dentistry work is personally handled by Buddy and cosmetic dentistry is led by Rick. Additional specialty departments include implants, removable, and diagnostic wax-ups – all led by highly skilled, board certified technicians. Our knowledge, philosophy and keys to success have been a solid foundation with the Pankey / Dawson concepts in occlusion and function.

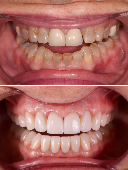
Comparison of two sets of teeth, with the bottom set appearing whiter and more straight than the top set, which has crooked, discolored, and uneven teeth.
Dental prosthetic model with an upper arch, showing a metal implant framework with gold and silver components and attached artificial lower teeth on a black background.
Close-up of a person's smile with white teeth and red lipstick.

Significant benefits for Bay View customers include free staff training, marketing and practice development support, and assistance with case sequencing and treatment planning. Continuing education has always been a cornerstone of our success. Our facility includes a full service education and learning resource center with courses for doctors, technicians, and staff almost every week of the year.

We invite you to learn more about our family of professionals dedicated to serving dentistry – visit BVDL.com.

Visit Bay View Dental Lab
Group of people posing outdoors around a firepit on a patio, surrounded by greenery and trees, with some holding glasses of wine.